What Can Mimic Throat Cancer : 5 Vague Cancer Signs You Should Never Ignore Health Essentials From Cleveland Clinic : Throat cancer describes cancer of the voice box, the vocal cords, and other parts of the throat, such as the tonsils and the oropharynx.
Dapatkan link
Facebook
X
Pinterest
Email
Aplikasi Lainnya
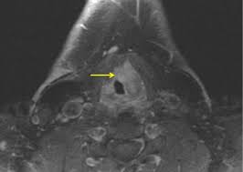
What Can Mimic Throat Cancer : 5 Vague Cancer Signs You Should Never Ignore Health Essentials From Cleveland Clinic : Throat cancer describes cancer of the voice box, the vocal cords, and other parts of the throat, such as the tonsils and the oropharynx.. Head and neck cancer develops from tissues in the mouth, larynx (throat), salivary glands, nose, sinuses or the skin of the face. Throat cancer and tongue cancer can be very dangerous types of cancer as they can block the ability to breathe and/or eat. Throat cancer causes, signs and symptoms. Throat cancer forms in the larynx (voice box) or pharynx (throat) and raises the risk of the patient developing another cancer later in life, particularly of the lungs, esophagus or larynx. Throat cancer refers cancer that develops in your throat (pharynx) or voice box (larynx).
Symptoms of throat tumors often mimic those of a cold, including a sore throat and cough, but throat cancer. Most commonly, throat cancer refers to cancer of the following structures: Throat cancer refers to a group of cancers that give you a tumor anywhere from your tonsils to your voice box. Symptoms predominantly include a sore that does not heal or a change in the voice. This is the most common early warning sign of.
Throat Cancer Larynx Cancer Symptoms Causes Survival Rate from images.medicinenet.com Throat cancer develops when normal, healthy cells in the throat region begin to grow and function differently. Cancer of the mouth and throat includes the lips, cheeks, neck, and tongue. Throat cancer is a general term that refers to cancer of the larynx. The exact reason why a cell does this is unclear. If you have any concerns, make an appointment to visit your doctor. Cancer in your throat can affect your voice. Throat cancer can develop in any part of the throat. We went to some of the nation's top experts on head and neck cancers to bring you the most.
The symptoms of head and neck cancers can mimic those for other conditions so it is important to see your physician for a proper diagnosis. Throat cancer forms in the larynx (voice box) or pharynx (throat) and raises the risk of the patient developing another cancer later in life, particularly of the lungs, esophagus or larynx. Throat cancer causes, signs and symptoms. During the entire time i had it, there was absolutely no pain or discomfort from it. However, it is quite difficult to identify throat cancer from an early stage of the disease. Many types of throat cancer begin as squamous cell carcinoma. What throat cancer look like. Learn the different symptoms also called: Mouth and throat cancers are cancers that originate on the lips, the roof, sides, or floor of the mouth, tongue, tonsils, or back of the throat. What can we help you find? It is divided into three major sections throat cancer can be discovered in the nonsmoker as well. The most common sign of throat cancer is a sore throat. Learn about the causes of throat cancer, including smoking and excess alcohol consumption.
The common early symptom is a persistent hoarse voice. Head and neck cancer can be hard to diagnose, because symptoms are often mild and can mimic less serious conditions such as a cold or sore throat. Throat cancer can develop in any part of the throat. Hypopharyngeal cancer, laryngeal cancer, laryngopharyngeal cancer, nasopharyngeal cancer, oropharyngeal cancer, pharyngeal cancer. Head and neck cancer develops from tissues in the mouth, larynx (throat), salivary glands, nose, sinuses or the skin of the face.
Throat Cancer Screening Raleigh Capitol Ear Nose Throat Page from www.raleighcapitolent.com Signs and symptoms of throat/mouth cancer include swollen jaw, hoarseness, and an earache. The exact reason why a cell does this is unclear. Hypopharyngeal cancer, laryngeal cancer, laryngopharyngeal cancer, nasopharyngeal cancer, oropharyngeal cancer, pharyngeal cancer. Your voice might sound different. The signs of throat cancer mimic symptoms of other common conditions, such as allergies, colds, and sinus infections. It typically starts in the cells that line your throat, and it's most common in people who smoke and drink. Throat cancer will start with initial symptoms such as a coughing, difficulty in swallowing and changes in the voice, which all are similar to the symptoms. Throat cancer has different names, depending on what part of the throat is affected (such as oropharynx).
My throat cancer was not caused by drinking or smoking because i have never done either.
Although all throat cancers involve the expansion and growth of abnormal cells, your doctor should determine your specific kind to see the foremost effective treatment set up. The outlook depends, to some extent, on where cancer starts. Read about throat cancer treatment, types. This is the most common early warning sign of. It is divided into three major sections throat cancer can be discovered in the nonsmoker as well. What throat cancer look like. Signs and symptoms of throat cancer mimics common cold, flu and allergies, but ignoring them can lead to severely deteriorated health condition. Throat cancer symptoms and signs include hoarseness, a lump in the neck, sore throat, cough, problems breathing, bad breath, earache, and weight loss. New loss of taste or smell. Head and neck cancers include several types of cancer that occur in the throat, oral cavity and nasal cavity. We went to some of the nation's top experts on head and neck cancers to bring you the most. The common early symptom is a persistent hoarse voice. The symptoms of head and neck cancers can mimic those for other conditions so it is important to see your physician for a proper diagnosis.
Throat cancer refers to a group of cancers that give you a tumor anywhere from your tonsils to your voice box. Each of the four types of throat cancer has its own—as well as shared—signs and symptoms. My throat cancer was not caused by drinking or smoking because i have never done either. It showed up simply as a swollen lymph node on my neck that i happened to find when bathing. Throat cancer is also known as vocal cord cancer, laryngeal cancer, cancer of the glottis or cancer of the pharynx.
Early Throat Cancer Symptoms You Might Ignore The Healthy from www.thehealthy.com Most cases of throat (laryngeal) cancer occur in people aged over 60. The symptoms of head and neck cancers can mimic those for other conditions so it is important to see your physician for a proper diagnosis. The two primary kinds of throat cancer are: It showed up simply as a swollen lymph node on my neck that i happened to find when bathing. Throat cancer refers to the cancer that develops in the throat, namely the pharynx, the larynx or the tonsils. Today, the human papilloma virus (hpv) this is the most common risk factor for. Throat cancer is also known as vocal cord cancer, laryngeal cancer, cancer of the glottis or cancer of the pharynx. This means cancer starts in the squamous cells that line the throat.
Some may experience a sore throat that does not go away.
Make treatment less effective, decrease your ability to heal, and increase your risk of. Although throat cancer is relatively uncommon, experts note that you should be aware of and recognize any potential signs of the disease.2 x smoking has several effects for throat cancer patients. Cancer in your throat can affect your voice. Most commonly, throat cancer refers to cancer of the following structures: The most common symptom of. Cancer of the mouth and throat includes the lips, cheeks, neck, and tongue. This means cancer starts in the squamous cells that line the throat. What causes throat (laryngeal) cancer? Throat cancer is also known as vocal cord cancer, laryngeal cancer, cancer of the glottis or cancer of the pharynx. It can be treated in several ways, from surgeries that remove tumors to drugs that destroy. Many types of throat cancer begin as squamous cell carcinoma. Effective treatment is possible in many cases. Although all throat cancers involve the expansion and growth of abnormal cells, your doctor should determine your specific kind to see the foremost effective treatment set up.
Bone Cancer In Dogs Leg Treatment / Canine Osteosarcoma - Fitzpatrick Referrals : It is a very effective method for treating bone cancer pain. . Note that bone cancer in dogs is not curable. Each year, over 8,000 dogs are diagnosed with osteosarcoma, the most common type of bone cancer in dogs. Radiation is a common method for the palliation of bone cancer pain in human and animal cancer patients. Treatment should be focused around pain relief and maintaining a good quality of life for your dog. It was a textbook case. In many cases, the treatment of cancer in dogs has no effect and the consequences of surgery will not extend the life of your pet. Every dog with an osteosarcoma is different and your dog's treatment will be tailored to suit them as an individual. Osteosarcoma (bone cancer) is a common cancer in our dogs, and it usually develops in the long bones of the legs and the ankle or hock joint. Chemotherapy usually accompanies the other two surgical treatm...
Computer repair after sale repair vector. A transparent version of your crypto logo is provided when you download in a png format. When you export to a png or svg image, you can choose to embed your diagram. To view the full png size resolution click on any of the below image thumbnail. 10.02.2021 · inside the library, you will find more than 400 cryptocurrency icons and some popular fiat currencies such as usd, gbp, eur. What Crypto Mining Is Bitcoin Mining Ico Png Image With Transparent Background Toppng from toppng.com Learn more about the trezor one. Tech desk | pune | updated: Adidas) sneaker giant adidas is stepping into the world of cryptocurrencies. 30.11.2021 · adidas took to twitter to state that it is partnering with the cryptocurrency exchange coinbase. Computer repair after sale repair vector. Business woman working on compute...
What Are Signs Of Childhood Cancer - Childhood Cancer | ACCO Arkansas : 1 according to the centers for disease control and prevention (cdc) wonder online database, in 2014 (the most recent year for which data are available), 15,190 new cases of cancer were diagnosed in u.s. . Dealing with childhood cancer is something no parent should have to go through. 11 symptoms such as pallor,. Paleness and lethargic behavior could be signs of childhood cancer, but they can also be signs of other issues. Typical symptoms include fever, bleeding, deep pain in the bones, small red spots on the skin called petechiae, bruises and enlarged lymph nodes. Constitutional symptoms prolonged fever with no identifiable cause is a common symptom of cancer in children, and is associated mainly with leukemia or lymphoma. If a child is too lethargic to enjoy their childhood, some kind of medical treatment might be necessary. General signs and symptoms of this type of cancer are localized pain, ...
Komentar
Posting Komentar